![]() |
![]() |
![]() |
![]() |
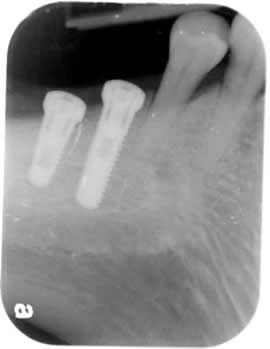
Two big molars are missing at the back. This is again a common situation. Two root-form implants are placed. Two crowns are restored onto the implants. Why wear denture? |
|
All Original Content © 2009 Liberty Square Dental Centre
Web Design © MeduZa - iDesign Press
Web Design © MeduZa - iDesign Press
Mon - Fri 10:00 - 6:30 | Sat - Sun 9:00 - 4:00
libertysquaredentalcentre@yahoo.com | (905) 305-0025
libertysquaredentalcentre@yahoo.com | (905) 305-0025



