![]() |
![]() |
![]() |
![]() |
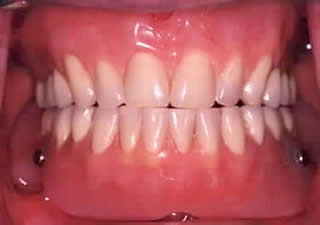
5 implants milled-bar supported over-denture. Similar to the previous case, the denture is sitting completed on the implant bar. All the biting force is directed to the implants. There is no soft tissue irritation. Patient just needs to unclip the denture from the implant during cleaning at night time. This is easy to clean, excellent chewing power, and maximum comfort. |
|
All Original Content © 2009 Liberty Square Dental Centre
Web Design © MeduZa - iDesign Press
Web Design © MeduZa - iDesign Press
Mon - Fri 10:00 - 6:30 | Sat - Sun 9:00 - 4:00
libertysquaredentalcentre@yahoo.com | (905) 305-0025
libertysquaredentalcentre@yahoo.com | (905) 305-0025


