Home
About Us
  • Vision
  • Team
  • Equipments
  • Advantages
Services
Showcases
  • Implants
  • Cosmetics
  • Braces
FAQ
  • Implants
  • Cosmetics
  • Braces
  • Wisdom Teeth
Insurances Contact Us

« Back | Next »

Go to page: 1,10,20,30,40,50

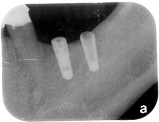
Dec 2008:

Two dental implants are placed for back teeth.

 

 

All Original Content © 2009 Liberty Square Dental Centre
Web Design © MeduZa - iDesign Press
Mon - Fri 10:00 - 6:30 | Sat - Sun 9:00 - 4:00
libertysquaredentalcentre@yahoo.com | (905) 305-0025
安康實境| 診所理念| 醫療團隊| 診所介紹| 安康優勢| 診療項目| 植牙實例| 牙齒美容| 矯正牙齒
關於植牙| 關於美齒| 關於矯正| 關於智齒| 牙科保險| 聯絡我們