Home
About Us
  • Vision
  • Team
  • Equipments
  • Advantages
Services
Showcases
  • Implants
  • Cosmetics
  • Braces
FAQ
  • Implants
  • Cosmetics
  • Braces
  • Wisdom Teeth
Insurances Contact Us

« Back | Next »

1,2,3,4,5,6,7,8,9,10,11,12,13,14,15,16,17,18,19

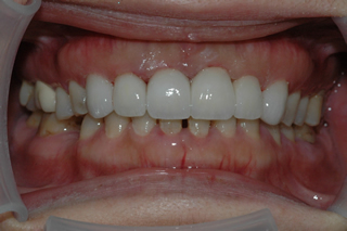
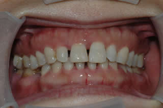
Empress Veneers:

Empress veneers can be indicated for yellow teeth, gaps between teeth, mal-aligned teeth, and unpleasant shape.

With Empress Veneers, space between the front teeth is closed. Teeth length is corrected.

Emergence profile of the soft tissue is improved. And of course, whiter teeth. Patient is doing bleaching on her lower teeth now.

 

All Original Content © 2009 Liberty Square Dental Centre
Web Design © MeduZa - iDesign Press
Mon - Fri 10:00 - 6:30 | Sat - Sun 9:00 - 4:00
libertysquaredentalcentre@yahoo.com | (905) 305-0025
安康實境| 診所理念| 醫療團隊| 診所介紹| 安康優勢| 診療項目| 植牙實例| 牙齒美容| 矯正牙齒
關於植牙| 關於美齒| 關於矯正| 關於智齒| 牙科保險| 聯絡我們