Braces & Crowns & Veneers:
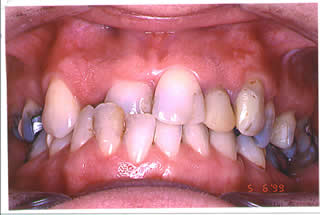
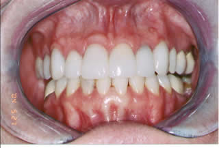
With multidiscipline training we have at Liberty Square Dental Centre, we can combine different specialty treatment including periodontology, braces, restorative, and cosmetics treatment to provide a comprehensive result that joins science and arts.
Restorative and periodontal treatments were started initially to control periodontal disease and caries.
Once, disease free, braces was started and continued for 3 years.
Teeth whitening was then completed to create whiter teeth.
At the end, cosmetic treatment including 20 Empress crowns and veneers were done.
Can you recognise the patient after this multi-discipline treatment?
All Original Content © 2009 Liberty Square Dental Centre
Web Design © MeduZa - iDesign Press
Web Design © MeduZa - iDesign Press
Mon - Fri 10:00 - 6:30 | Sat - Sun 9:00 - 4:00
libertysquaredentalcentre@yahoo.com | (905) 305-0025
libertysquaredentalcentre@yahoo.com | (905) 305-0025
