Home
About Us
  • Vision
  • Team
  • Equipments
  • Advantages
Services
Showcases
  • Implants
  • Cosmetics
  • Braces
FAQ
  • Implants
  • Cosmetics
  • Braces
  • Wisdom Teeth
Insurances Contact Us

« Back | Next »

1,2,3,4,5,6,7,8,9,10,11,12,13,14,15,16,17,18,19

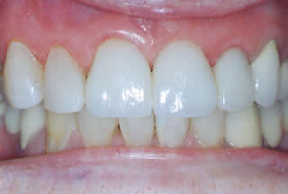
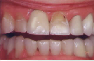
3 Empress Crowns, 1 Empress Veneer and 2 tooth-colored fillings:

This is an erosion case. Patient likes to taste lemon by placing lemon between the teeth and lip.

The cervical (neck) area of the front teeth are eroded away by the acid from the lemon creating the yellow lesion you see.

3 Empress crowns, 1 empress veneer and 2 tooth-coloured fillings were done.  With careful planning, different materials can still be mixed and matched to create excellent clinical result.

 

All Original Content © 2009 Liberty Square Dental Centre
Web Design © MeduZa - iDesign Press
Mon - Fri 10:00 - 6:30 | Sat - Sun 9:00 - 4:00
libertysquaredentalcentre@yahoo.com | (905) 305-0025
安康實境| 診所理念| 醫療團隊| 診所介紹| 安康優勢| 診療項目| 植牙實例| 牙齒美容| 矯正牙齒
關於植牙| 關於美齒| 關於矯正| 關於智齒| 牙科保險| 聯絡我們