Home
About Us
  • Vision
  • Team
  • Equipments
  • Advantages
Services
Showcases
  • Implants
  • Cosmetics
  • Braces
FAQ
  • Implants
  • Cosmetics
  • Braces
  • Wisdom Teeth
Insurances Contact Us

« Back | Next »

1,2,3,4,5,6,7,8,9,10,11,12,13,14,15,16,17,18,19

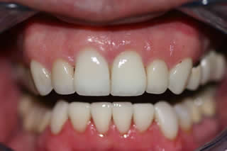
Porcelain Crowns/Veneer:

Traditional crowns have metal underneath the porcelain. The presence of metal creates a dark black margin and does not allow light shine through the crown.  

The new crowns can be all porcelain and thus shows no dark metal margin. Better translucency and appears natural.

 

 

All Original Content © 2009 Liberty Square Dental Centre
Web Design © MeduZa - iDesign Press
Mon - Fri 10:00 - 6:30 | Sat - Sun 9:00 - 4:00
libertysquaredentalcentre@yahoo.com | (905) 305-0025
安康實境| 診所理念| 醫療團隊| 診所介紹| 安康優勢| 診療項目| 植牙實例| 牙齒美容| 矯正牙齒
關於植牙| 關於美齒| 關於矯正| 關於智齒| 牙科保險| 聯絡我們